この子は急に肩で呼吸するようになったため来院しました。
調子が悪そうです。

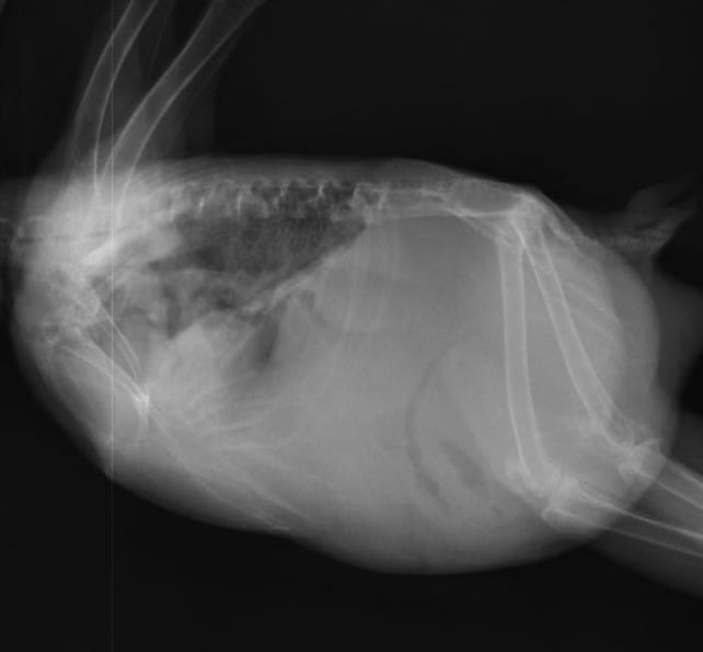
お腹が膨らんでおり、呼吸も荒かったため、レントゲン検査と超音波検査を行いました。

こちらはレントゲン写真ですが、かなり腹水が溜まっていました。超音波検査でも同様の所見でした。
体重も腹水分、元の体重より増えていました。
呼吸も荒く、食欲もなかったため、酸素室で入院治療を行いました。
1週間ほど入院下で治療を行い、元気が少し出てきたため、退院としました。

1週間後の再診時の写真ですが、元気も食欲もあり、呼吸も落ち着いていました。
超音波検査では腹水が消失しており、体重も約50g減りました。肉付きが変わらないのに体重が減るのは、それだけ腹水が溜まっていたということになります。
おうちでも酸素室を借りていただいていたのですが、すぐに必要なくなりました。
フクロウで腹水が溜まる原因は様々です。炎症や腫瘍などもありますが、アフリカオオコノハズクでは鉄貯蔵病による腹水貯留の報告もあります。腹水もある程度たまっている場合や腹水が溜まっている場所によっては抜くこともあります。この子は抜かなくても腹水がなくなりました。
それぞれの原因に合った治療が必要ですが、原因を生前に調べることが困難なこともあります。また、フクロウは体の構造上、腹水が溜まると肺や気嚢などの呼吸器が圧迫され苦しくなってしまいます。
状態が低下してからだと検査や治療が困難になってしまう場合もあるため、急激な体重の増加や呼吸が荒いなどの症状は早めに来院が必要です。