この子は前足を脱臼してしまい、かかりつけ医では処置できないとのことで当院に来院されました。
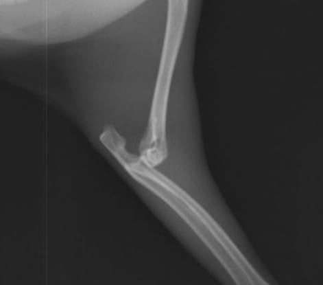
右前肢が動かなくなっており、レントゲン検査を行うと、

このように右前肢の肘関節が脱臼しています。
治療にはいくつか方法があります。この子は脱臼してからあまり時間がたっていなかったため、手術を行わず、テーピングによる非観血的方法で治療を行いました。
まず麻酔をかけて、肘の脱臼をはめます。そのままだとすぐに外れてしまうため、テーピングを行い、固定します。
テーピングを巻いた状態で、過ごしてもらい、ある程度時間がたったところで外しました。

このような状態です。


テーピングを外した直後は違和感があるみたいでしたが、徐々に戻ってきました。
脱臼は場所と経過時間によって治療が変わります。
時間がたってしまうと、脱臼をはめることができず、手術になってしまう場合もあるため、違和感を感じた場合は早めの来院をおすすめします。