お知らせ

ケヅメリクガメの膀胱結石

今回はケヅメリクガメの膀胱結石をご紹介します。

ケヅメリクガメやホシガメは膀胱結石が多くみられます。

原因としては慢性的な脱水や食事の問題、細菌感染などが尿路結石の原因として知られています。

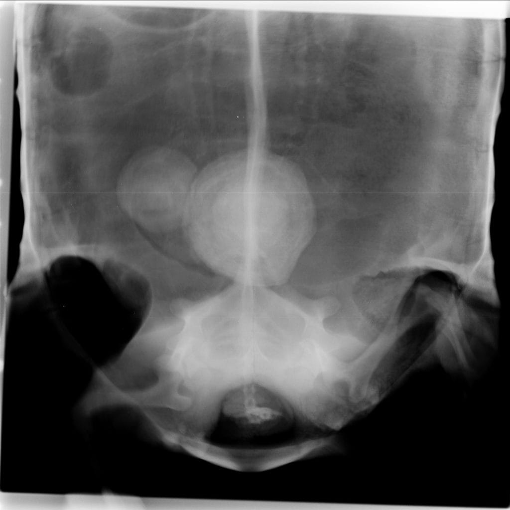
この子も排泄をするときに鳴くという症状で来院されました。

レントゲン検査では、膀胱に大きな結石が2つありました。

そのため、摘出することにしました。

今回は甲羅をあけて結石をとる方法を選択しました。それ以外にも足の付け根から手術を行う方法もあります。

結石はこのようにかなり大きいです。この子は手術後すぐにご飯を食べ始め、元気になって帰っていきました。


ページトップ